Fatti e Persone
Direzioni
Direzione Amministrativa
Direzione Generale
Direzione Sanitaria
Direzione Scientifica
Unità Operative
Cardiologia
Chirurgia Generale
Chirurgia Vascolare
Diagnostica
Ematologia
Farmacia Ospedaliera
Gastroenterologia
Ginecologia e Ostetricia
Medicina di Laboratorio
Neurologia
Oculistica
Oncologia
Ortopedia
Otorinolaringoiatria
Pediatria e Neonatologia
Pronto Soccorso D.E.A. e Terapia Intensiva
Urologia
Sicurezza
Ingegneria Clinica
Ricerca
Editoriale
Chi siamo
Formazione
Abbonati
Contatti
Convegni
Libri
Link utili
Norme&Sentenze
Newsletter
Cerca
Chi siamo
Formazione
Abbonati
Contatti
Convegni
Libri
Link utili
Norme&Sentenze
Newsletter
Tecnica Ospedaliera
Fatti e Persone
Direzioni
Direzione Amministrativa
Direzione Generale
Direzione Sanitaria
Direzione Scientifica
Unità Operative
Cardiologia
Chirurgia Generale
Chirurgia Vascolare
Diagnostica
Ematologia
Farmacia Ospedaliera
Gastroenterologia
Ginecologia e Ostetricia
Medicina di Laboratorio
Neurologia
Oculistica
Oncologia
Ortopedia
Otorinolaringoiatria
Pediatria e Neonatologia
Pronto Soccorso D.E.A. e Terapia Intensiva
Urologia
Sicurezza
Ingegneria Clinica
Ricerca
Editoriale
Home
Tags
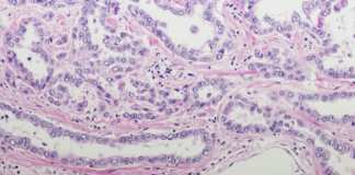
Mesotelioma pleurico
Tag: mesotelioma pleurico
Oncologia
Chemioterapia intratoracica per la gestione della carcinosi pleurica
Maria Grande
24 Marzo 2026